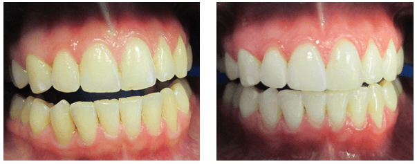
A bright, white smile can boost your confidence and enhance your overall appearance—but not all whitening solutions are created equal.

At Family 1st Dental, we offer professional teeth whitening options that go beyond what you’ll find in a store aisle. While over-the-counter products can offer results, they often lack the strength, precision, and long-term benefits of professional care. Professional whitening treatments are tailored to your specific needs, whether you’re looking to remove years of staining or just brighten up before a big event, we have solutions designed for comfort, safety, and noticeable results.
Why choose professional whitening?
Stronger Results
Professional-grade products whiten teeth more effectively and in less time.
Customized Treatment
We evaluate your smile and recommend options based on your unique needs.
Longer-Lasting Effects
With proper care, professional whitening tends to maintain its brightness longer.
Each of our offices provides its own whitening options—designed for your comfort and results. Contact your local Family 1st Dental office to learn more about the whitening options they offer. Please, click here, to find the location nearest you. They’ll be happy help you take the next step toward a whiter smile.
Explore our Dental Services
Visit Our Hartington Dental Office
Dentist Hartington
Our Dental News
Dentist Hartington
Foods That Help Keep Your Teeth Strong and Healthy
Maintaining strong and healthy teeth is essential for overall well-being. A well-balanced diet plays a significant role in achieving optimal oral health. At Family 1st Dental – Hartington, we provide expert advice on how the right diet can protect your […]
Learn MoreThe Benefits of Custom Mouthguards for Athletes
Participation in sports is a rewarding and fulfilling experience that fosters teamwork and discipline. However, it also comes with the risk of dental injuries. Custom mouthguards have emerged as a vital protective gear for athletes, providing numerous benefits tailored to […]
Learn MoreEnhance Your Smile with Bioclear® Cosmetic Dentistry
At Family 1st Dental – Hartington, we understand that a radiant smile can significantly impact confidence and self-esteem. That is why we offer Bioclear® treatments, a non-invasive option designed to restore teeth and help create a natural smile. Bioclear® stands […]
Learn More

